폐섬유화 증상 자세히 알아보기
폐섬유화 증상 자세히 알아보기



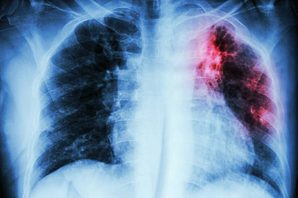
폐섬유화증은 폐조직 내 결손 및 염증에 의해 섬유화 과정이 일어나서, 건강한 폐조직이 염증과 섬유화에 대한 대체물질로 치환되는 질환입니다. 이로 인해, 섬유화된 조직은 신축성이 없고, 호흡기능이 저하됩니다. 따라서 다른 질병과 마찬가지로 초기에 적절한 치료를 받는 것이 중요하기 때문에 이번 시간에는 폐섬유화로 인한 증상들에 대해 정리해보겠습니다.
호흡 곤란



호흡 곤란은 폐섬유화증의 가장 대표적인 증상 중 하나입니다. 일반적으로 증상이 더해지는 것으로 나타나며, 물리적인 활동이나 감정적인 스트레스로 발생할 수도 있습니다. 호흡 곤란은 폐조직의 결손으로 인해 공기의 흐름이 제한되어 발생합니다. 호흡 곤란이 있을 경우 심한 경우에는 폐활량 감소로 인해 산소공급이 충분하지 않아 발생할 수 있는 산소부족증상에 의해 혼수상태에 이르기도 합니다.
만성 기침



만성 기침은 호흡 곤란과 함께 폐섬유화증의 대표적인 증상 중 하나입니다. 기침은 호흡기의 염증 및 결손으로 인해 발생합니다. 이 증상은 급성기침과 달리 더욱 지속적이며, 가끔은 거의 쉬지 않는 경우도 있습니다.
흉통



흉통은 폐섬유화증 환자의 가슴에서 느껴지는 통증으로, 호흡기 기능 저하로 인해 폐와 관련된 신경 및 근육에 대한 부담으로 인한 것입니다. 흉통은 일시적이거나 만성적일 수 있으며, 심한 경우 흉부의 압박감과 함께 호흡 곤란을 유발할 수도 있습니다.
체중 감소



폐섬유화증은 식욕 감소로 인해 체중 감소를 유발할 수 있습니다. 호흡 곤란 및 기침으로 인해 식욕이 감소하고, 식사량이 줄어들 수 있습니다. 이러한 증상은 건강한 생활을 유지하는 데 어려움을 줄 수 있습니다.
말초부종



폐섬유화증 환자는 말초부종을 경험할 수 있습니다. 호흡기 기능의 저하로 인해 혈액순환에 문제가 생기면서, 발과 다리 등 말초부위가 부어오르는 증상이 나타날 수 있습니다.
지속적인 피로감



폐섬유화증 환자는 지속적인 피로감을 경험할 수 있습니다. 호흡기능이 저하되면서 산소공급이 충분하지 않아 신체의 대사 활동이 감소하고, 이로 인해 지속적으로 피로감을 느끼게 됩니다.
손발가락의 소실감 또는 냉각감



폐섬유화증은 손발가락의 소실감 또는 냉각감을 유발할 수 있습니다. 이는 폐조직의 결손으로 인해 산소공급이 충분하지 않아 혈액순환에 문제가 생기기 때문입니다.
소화 장애



폐섬유화증 환자는 소화 장애를 경험할 수 있습니다. 호흡기 기능의 저하로 인해 식도와 위간에 있는 근육들이 약해져서 소화가 원활하지 않게 되기 때문입니다.
잠재적인 심혈관계 질환



폐섬유화증은 잠재적인 심혈관계 질환을 유발할 수 있습니다. 폐섬유화증 환자들은 호흡 곤란으로 인해 심장 및 혈관에 부담이 가해지며, 이로 인해 고혈압, 심부전, 심근경색 등의 심혈관계 질환에 노출될 가능성이 높아집니다.
우울증



폐섬유화증 환자들은 우울증에 노출될 가능성이 높습니다. 이는 호흡 곤란과 같은 증상으로 인해 생활의 질이 감소하고, 자존감이 하락하기 때문입니다. 또한, 폐섬유화증으로 인한 사회적 고립감도 우울증의 원인 중 하나가 될 수 있습니다.
잇몸이 내려앉을 때 전조증상 자세히 알아보기
잇몸이 내려앉을 때 전조증상 자세히 알아보기 잇몸이 내려앉을 때는 치은과 잇몸 사이에 있는 강직 연결 조직인 치주가 파괴되어 잇몸이 치아에서 멀어지는 현상을 말합니다. 이러한 현상은
chanjoone.trogenx.com
척추관 협착증 증상 자세히 알아보기
척추관 협착증 증상 자세히 알아보기 척추관 협착증은 척추관 내부의 공간이 좁아져서 척추 신경이 압박되어 발생하는 질환으로, 다양한 증상을 보일 수 있습니다. 초기에 적절한 치료를 받는
chanjoone.trogenx.com
디카페인 커피 문제점 알아보기
디카페인 커피 문제점 알아보기 디카페인 카페는 카페인 함유량이 일반 커피보다 적은 커피입니다. 일반적으로 디카페인 커피는 카페인 함량이 약 2~5mg 정도이며, 일반 커피보다 약간 비싸다는
chanjoone.trogenx.com