자궁근종 증상 자세히 알아보기
자궁근종 증상 자세히 알아보기



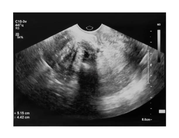
자궁근종은 자궁 내부나 외부에 발생하는 양성 종양으로, 자궁근육 내부에서 발생하는 경우가 가장 많습니다. 자궁근종은 여성들의 월경기에 더욱 빈번하게 발생하며, 대부분의 경우는 악성 종양으로 전이되지 않습니다.



자궁근종은 대개 증상이 없어서 여성들이 모르고 지나칠 수 있습니다. 그러나 종양이 커지거나 수가 많아지면 자궁근육을 압박하거나 옆에 있는 장기를 압박할 수 있습니다. 이러한 압박은 복통, 가끔 출혈, 배뇨 불편 등의 증상을 일으킬 수 있습니다.



자궁근종은 크기와 위치에 따라 다양한 증상을 일으키며, 일부 경우에는 생식기능에도 영향을 미칠 수 있습니다. 대개의 경우 자궁근종은 치료가 필요하지 않을 정도로 작고 증상이 없지만, 증상이 있거나 근종의 크기나 수가 많아지는 경우 치료가 필요할 수 있어 이번 시간에는 자궁근종 증상에 대해 자세히 알아보겠습니다.
월경 이상



자궁근종이 크면 자궁 내부에 압력을 가해 월경이 불규칙하거나 고통스러워질 수 있습니다. 이는 자궁근종이 자궁 안쪽에 위치하고 있을 때 더 흔하게 나타나며, 특히 근종이 성장하거나 월경 주기가 시작될 때 더욱 심해질 수 있습니다. 이러한 증상은 월경량이 많아지거나, 월경기간이 연장되는 경우도 있습니다. 때로는 월경이나 부분 탈장으로 인해 통증이 나타날 수도 있습니다.
복통



자궁근종이 크거나 위치가 불리한 경우 복통이나 요통이 나타날 수 있습니다. 이는 자궁근종이 자궁 벽 밖에 위치하고 있을 때 더 흔하게 나타나며, 증상이 심해질수록 운동이나 성관계와 같은 일상생활에 어려움을 겪을 수 있습니다.
배뇨장애



자궁근종이 방광에 압력을 가하면 배뇨장애가 발생할 수 있습니다. 이러한 증상은 방광이 가득 찬 느낌, 자주 배뇨하는 등의 증상이 나타납니다. 일부 환자들은 배뇨 과정에서 어려움을 겪을 수도 있습니다.
변비



자궁근종이 직장에 압력을 가해 변비를 유발할 수 있습니다. 이러한 증상은 대변이 건조하고, 배변이 어려운 경우가 많습니다.
불임



자궁근종이 생식기관에 압력을 가해 생식기 기능에 영향을 미치면 불임이 발생할 수 있습니다. 이는 자궁근종이 자궁 경부나 자궁 입구에 위치하고 있을 때 더 흔하게 나타납니다. 자궁근종은 배란과 배아 이식에 직접적인 영향을 미치는 것은 아니지만, 혈액순환이나 자궁 구조에 영향을 미침으로써 생식기능에 악영향을 끼칠 수 있습니다.
체중 증가
자궁근종이 큰 경우 복부가 부풀어 오르거나 더 무거워져 체중 증가가 나타날 수 있습니다.
빈혈



월경량이 많거나 지속적인 출혈로 인해 철분이 부족해지면 빈혈이 발생할 수 있습니다. 이는 자궁근종이 월경과 관련된 증상 중 가장 흔한 것 중 하나입니다.
자궁 축소



일부 자궁근종은 자연적으로 축소될 수 있지만, 근종이 너무 크거나 오랜 시간동안 존재하면 자궁 근육이 축소되고 변형될 수 있습니다.
임신 중의 합병증



자궁근종이 있을 경우 임신 중 자궁의 크기가 커지면서 분만 과정에서 어려움이 생길 수 있습니다. 또한 일부 자궁근종은 임신 중 출혈이나 조기 분만의 원인이 될 수 있습니다.
자궁근종 유발한 악성종양의 가능성



자궁근종은 악성종양으로 전이되는 경우는 매우 드뭅니다. 그러나 자궁근종이 크거나 불규칙한 형태를 띄는 경우, 특히 빠르게 성장하거나 원래 크기보다 커진 경우에는 악성종양의 가능성을 염두에 두어야 합니다. 이러한 경우에는 추가적인 검사가 필요합니다.
잇몸이 내려앉을 때 전조증상 자세히 알아보기
잇몸이 내려앉을 때 전조증상 자세히 알아보기 잇몸이 내려앉을 때는 치은과 잇몸 사이에 있는 강직 연결 조직인 치주가 파괴되어 잇몸이 치아에서 멀어지는 현상을 말합니다. 이러한 현상은
chanjoone.trogenx.com
디카페인 커피 문제점 알아보기
디카페인 커피 문제점 알아보기 디카페인 카페는 카페인 함유량이 일반 커피보다 적은 커피입니다. 일반적으로 디카페인 커피는 카페인 함량이 약 2~5mg 정도이며, 일반 커피보다 약간 비싸다는
chanjoone.trogenx.com
척추관 협착증 증상 자세히 알아보기
척추관 협착증 증상 자세히 알아보기 척추관 협착증은 척추관 내부의 공간이 좁아져서 척추 신경이 압박되어 발생하는 질환으로, 다양한 증상을 보일 수 있습니다. 초기에 적절한 치료를 받는
chanjoone.trogenx.com