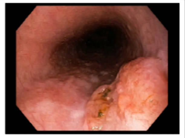
식도암 초기증상 10가지 자세히 알아보기
식도암 초기증상 10가지 자세히 알아보기



식도암 초기증상을 알아야하는 이유는 조기 발견과 조기 치료가 중요하기 때문입니다. 식도암은 초기에는 흔히 증상이 없어 발견이 어려울 수 있지만, 조기에 발견하면 수술, 방사선 치료, 항암제 등 다양한 치료 방법을 통해 치료 가능성이 높아지기 때문입니다.
따라서 주기적인 검진과 함께 식도암 초기 증상에 대해 알아두는 것이 중요합니다. 일반적으로 식도암 초기 증상으로는 속쓰림, 인후통, 역류증상, 구역질, 체중감소 등이 나타날 수 있어 이번 시간에는 식도암 초기증상에 대해 자세히 알아보겠습니다.,
인후통



식도암이 위치한 상부 소화기관에는 식도와 인두가 있습니다. 이 중 식도가 암으로 인해 좁아지면, 음식이나 액체가 지나갈 때 통증을 느낄 수 있습니다. 이런 통증이 인후통으로 나타날 수 있으며, 식도암의 초기증상 중 하나입니다.
가슴 쓰림



식도암이 위치한 상부 소화기관에서는 가슴 중앙 부분을 가로지르는 식도가 있습니다. 식도암으로 인해 식도가 좁아지면, 가슴 중앙에 압박감을 느끼거나 불편감을 느낄 수 있습니다. 이런 증상이 가슴 쓰림으로 나타날 수 있습니다.
구역질



식도암 초기증상 중 하나인 구역질은 식도에서 소화되지 않은 음식물이 걸려서 나타날 수 있습니다. 식도암으로 인해 식도가 좁아지면 음식물이 잘 내려가지 않아 구역질이 나타날 수 있습니다. 또한 구역질과 함께 구토와 같은 증상도 나타날 수 있습니다.
식도염



식도암 초기 증상 중 하나로서, 식도내에 염증이 발생하는 것을 의미합니다. 식도암은 식도내 세포들이 비정상적으로 성장하면서 발생하는데, 이 과정에서 염증이 발생할 수 있습니다. 식도염은 식도암과는 직접적인 관련은 없으나, 만약 지속적으로 발생하면 식도암 발생 위험이 증가할 수 있습니다. 식도염은 식도의 통증, 역류증상, 역류성 식도염 등의 증상을 유발할 수 있습니다.
식도경부 압박감



식도암 초기 증상 중 하나로서, 식도와 인근 조직들에 압박감이 느껴지는 것을 의미합니다. 식도암이 성장하면서 주변 조직을 압박하고 인근 신경을 자극할 수 있기 때문입니다. 이로 인해 목의 경부나 어깨 부근에 압박감이 느껴질 수 있습니다.
섭취물 역류



식도내의 역류 현상을 의미합니다. 일반적으로, 식도는 식후 3시간 이내에 비어있는 상태를 유지하고 있지만, 섭취물 역류가 발생하면 위에서 소화액과 음식물이 다시 식도로 역류하여 염증과 손상을 유발할 수 있습니다. 이러한 섭취물 역류는 식도암의 위험 요인 중 하나입니다.
속쓰림



속쓰림은 위산이 식도로 역류되어 식도를 자극하면서 생기는 통증을 말합니다. 위산은 위에서 식도쪽으로 역류하게 되면서 식도 점막을 자극하고 손상시키기 때문에 식도암의 발생 위험도를 증가시킵니다.
체중 감소



식도암 초기 증상 중 체중 감소는 다른 증상과 함께 나타날 수 있으며, 특히 진행된 경우에 주로 나타납니다. 이는 종양이 식도에서 음식의 통로를 차지하거나 음식의 소화를 방해하여 발생할 수 있습니다.
식도암으로 인한 체중 감소는 일반적으로 급격하게 발생하며, 비록 식사량이 충분하더라도 체중이 감소할 수 있습니다. 이는 종양이 섭취한 음식의 영양분 흡수를 방해하거나, 면역 시스템의 반응으로 인해 염증이 발생하여 소화기관의 기능이 감소하기 때문입니다.
소화불량



소화불량은 식도암이 진행됨에 따라 식도의 운동이 약해지면서 발생할 수 있습니다. 식도의 운동이 약해지면 음식물이 제대로 소화되지 않고 느린 속도로 이동하게 되기 때문입니다. 이러한 소화불량 증상은 식도암 이외에도 다양한 소화기 질환에서 나타날 수 있으므로, 다른 증상과 함께 나타날 경우에는 식도암을 의심해 봐야 합니다.
호흡곤란



호흡곤란은 식도암이 상당히 진행되었을 때 나타나는 증상입니다. 식도암이 진행되면 식도에 압력이 가해져 호흡곤란이 나타날 수 있습니다. 호흡곤란이 나타날 경우에는 식도암이 아닌 다른 호흡기 질환의 가능성도 있으므로, 식도암을 의심할 경우에는 반드시 전문의의 진료를 받아야 합니다.
대장암에 좋은 음식과 안좋은음식 10가지 알아보기
대장암에 좋은 음식과 안 좋은음식 10가지 알아보기 대장암은 대장 내부의 세포들이 비정상적으로 성장하여 발생하는 암으로, 일반적으로 조기 발견이 어려워 진행이 심해질수록 치료가 어려워
chanjoone.trogenx.com
항암치료 중 좋은 음식 알아보기
항암치료 중 좋은 음식 알아보기 주변에서 혹은 가족들이 항암치료를 받는 경우를 옆에서 보고 있으면 상당히 고통스러워 하는 것을 확인할 수 있는데 이로 인하여 자연히 입맛도 없고 식사를
chanjoone.trogenx.com